Valve ASSIST 2 para la implantación de válvulas aórticas transcatéter

product-product-categories-Intervantional - 2016-valve_11.jpgPlanificar

Gracias a la segmentación de la aorta sin necesidad de hacer clic y a la definición de la válvula, cualquiera puede determinar con precisión las dimensiones de la válvula.

product-product-categories-Intervantional - 2016-valve_12.jpgGuiar

Guía de fusión 3D mejorada con Calcification Enhancement (Realce de calcificación) mejora la visualización de estructuras contrastadas en movimiento.

product-product-categories-Intervantional - 2016-valve_13.jpgEvaluar

Evalúe la posible regurgitación con una excepcional visualización del contraste.

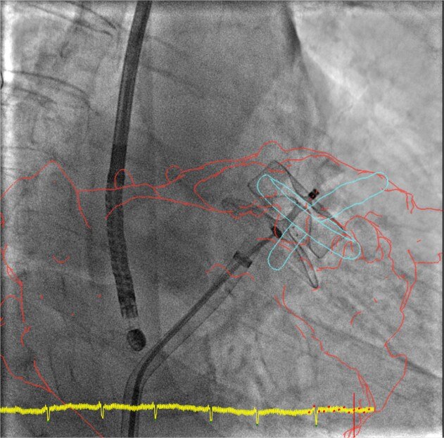
Valve ASSIST 2 para cerrar la orejuela auricular izquierda

product-product-categories-Intervantional - 2016-valve_21.jpgPlanificar

Segmente imágenes de TC en 3D de la aurícula izquierda para planificar con precisión la intervención, lo que incluye:

- Morfología
- Zona de destino ideal
- Tamaño óptimo del dispositivo
product-product-categories-Intervantional - 2016-valve_22.jpgGuiar

La fusión en 3D ayuda a guiar cada paso con confianza, desde la punción transeptal a la colocación del dispositivo. Reduzca de forma significativa la duración del procedimiento al tiempo que reduce la dosis y el medio de contraste.

product-product-categories-Intervantional - 2016-valve_23.jpgEvaluar

Cuando el dispositivo se instala, utilice la ecocardiografía para confirmar la ubicación del dispositivo y evaluar al compresión antes de liberarlo3.

Clinical cases and publications

Booklet

Valve ASSIST 2 and VIVIDTM E95 Utilizing advanced imaging to Plan, Guide, and Assess Left Atrium Appendage Closure procedures.

Dr. Garot and Dr. Cormier. Institut Cardiovasculaire Paris Sud, Massy (France)

Presentation

Benefits of Valve ASSIST 2 for LAAC procedures

Dr. Spaziano, McGill University Health Center, Montreal, Canada

product-product-categories-Intervantional - 2016-article_article.jpg

Scientific publication

Valve ASSIST 2 : Value of Image Fusion Coronary angiography for the detection of CABG

J. Plessis et al.

J Am Heart Assoc. 2016 Jun 10;5(6). pii: e002233. doi: 10.1161/JAHA.115.002233.
product-product-categories-Intervantional - 2016-article_article.jpg

Scientific publication

TCT-624 Novel Integrated 3D Multi-Detector Computed Tomography and Fluoroscopy Fusion for Left Atrial Appendage Occlusion Procedures

A. Roy et al.

Catheter Cardiovasc Interv 2017;Mar 17, DOI:10.1002/ccd.26998

1. La solución VALVE ASSIST 2 incluye TAVI Analysis y HeartVision 2 y necesita una estación de trabajo AW con Volume Viewer y Volume Viewer Innova. Estas aplicaciones se venden por separado.

2. Novel Integrated 3D Multi-Detector Computed Tomography and Fluoroscopy Fusion for Left Atrial Appendage Occlusion Procedures - Publication in JACC, Volume 68, Issue 18_S, November 2016 https://content.onlinejacc.org/article.aspx?articleid=2576729

3. Las imágenes ecográficas no se incluyen en Valve ASSIST 2

JB02414ES