Vea este vídeo para descubrir lo fácil que puede ser su primera RM


Está preparado para la RM

Un proceso verde, desde el centro hasta la exploración
- Dimensiones reducidas para facilitar la colocación
- 25 % menos de potencia nominal
- Hasta un 70 % menos de consumo de helio durante su ciclo de vida

¿Y la curva de aprendizaje?
- Una experiencia de usuario intuitiva, similar a lo que utiliza cada día
- Los técnicos pueden aprender a utilizar la RM en cuestión de horas
- Asistencia remota


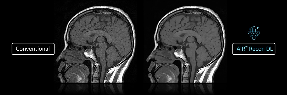
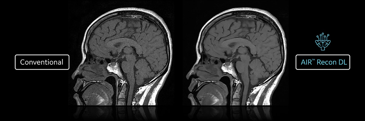
La IA está aquí para ayudarle

Imágenes neurológicas: 6:06 min con AIR™ Recon DL
Columna lumbar: 5:46 min con AIR™ Recon DL
Rodilla: 4:49 min con AIR™ Recon DL
