SIGNA™ PET/MR AIR™*

La claridad que busca. La comodidad que merecen. Presentamos SIGNA™ PET/MR AIR™.
De un vistazo

Tecnología inteligente

ToF de PET** de mayor sensibilidad del sector con RM de 3T y AIR™ Recon DL de alta calidad

Comodidad equiparable a la de AIR™

Las bobinas AIR™ proporcionan una experiencia de PET/RM mejor

Claridad con MotionFree Brain

Obtenga imágenes claras del cerebro sin marcadores externos ni hardware

Futuro abierto

Totalmente actualizable a la tecnología, aplicaciones y bobinas más recientes

Consiga la claridad que necesita y la comodidad que se merecen sus pacientes con el nuevo SIGNA™ PET/MR AIR™

Tanto si está ayudando a un paciente a planificar su proceso de tratamiento, como si investiga métodos de diagnóstico o nuevos marcadores, entendemos la importancia de proporcionar la mejor atención. Por eso hemos creado SIGNA™ PET/MR AIR™. Gracias a la combinación del detector de PET Time-of-Flight [ToF] más sensible del sector y nuestro escáner de RM idóneo con nuestras tecnologías AIR™, obtendrá claridad y comodidad para el paciente en cada exploración.
MAYOR POTENCIAL

Acerque la PET/RM a más pacientes

Con SIGNA™ PET/MR AIR™, la PET/RM nunca ha sido tan rápida ni cómoda, con lo que esta tecnología se acerca a un público de pacientes más amplio. Nuestro objetivo es convertir la PET/RM en uno de los activos esenciales de su departamento.
TECNOLOGÍA INTELIGENTE

Nuestra PET más avanzada con RM de alta calidad

El núcleo de SIGNA™ PET/MR AIR™ lo constituyen el detector ToF de PET más sensible del sector y una excepcional corrección de la atenuación de la RM (MRAC) con la adquisición con tiempo de eco cero (ZTE) exclusiva de GE HealthCare. Esto significa que podrá ver algunas de las lesiones más pequeñas, planificar con mayor precisión las vías de tratamiento para cada paciente e investigar nuevos marcadores.

Este avanzado hardware funciona con la última versión de MR 30 para SIGNA™, incluida en todos nuestros escáneres SIGNA™. Esta plataforma incluye AIR™ Recon DL, nuestro innovador algoritmo de reconstrucción basado en el aprendizaje profundo que le permite conseguir una calidad de imagen nítida más rápido que nunca. Esto hace que SIGNA™ PET/MR AIR™ sea increíblemente potente.
COMODIDAD EQUIPARABLE A LA DE AIR™

Simplemente una experiencia de PET/RM mejor

Las bobinas AIR™ están diseñadas para adaptarse al cuerpo humano como una manta fina. Su diseño permite reducir los artefactos de atenuación de las exploraciones de PET y mejorar la cuantificación. Las bobinas AIR™ también proporcionan una configuración más rápida, lo que permite aumentar el flujo de trabajo y reducir la exposición del técnico a los pacientes a los que se les inyectan isótopos radiactivos.

AIR x™ y AIR Touch™ son aplicaciones de flujo de trabajo inteligentes que ayudan a los técnicos a configurar y realizar exámenes con facilidad. AIR x™ detecta automáticamente la anatomía y prescribe cortes de RM, lo que permite tiempos de configuración 5 veces más rápidos y 4 veces menos clics del ratón. AIR Touch™ ajusta el promedio de la bobina para los parámetros anatómicos y del protocolo con un solo toque, y proporciona un aumento de la productividad del 59 %‡ desde la planificación hasta la exploración.
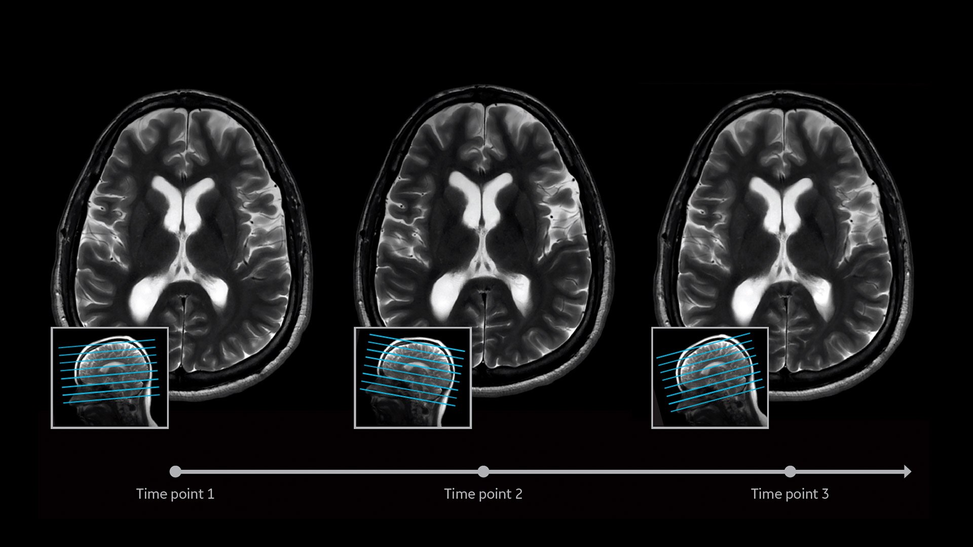
CLARIDAD CON MOTIONFREE BRAIN

El futuro de PET/RM es MotionFree

MotionFree Brain le ofrece gestión del movimiento sin necesidad de marcadores externos, hardware ni tiempo de exploración adicional. Nuestro innovador algoritmo corrige los datos de PET sin procesar de los movimientos reales de la cabeza del paciente. Esto ayuda a proporcionar una mejora significativa en la precisión cuantitativa, especialmente en lesiones cerebrales pequeñas.

Para garantizar una adquisición de imágenes sin movimiento lo más cómoda posible, MotionFree Brain es compatible con todas las funciones de PET/RM de SIGNA™, como Q.Clear y ZTE MRAC.
FUTURO ABIERTO

Convierta la PET/RM en parte fundamental de su proceso de diagnóstico

SIGNA™ PET/MR AIR™ es totalmente actualizable a la tecnología, aplicaciones y bobinas más recientes, tanto si se trata de su primer sistema de PET/RM como del próximo.

Si posee un sistema de PT/RM SIGNA™, existe una ruta de actualización clara a SIGNA™ PET/MR AIR™ que le permite aprovechar AIR™ y las últimas aplicaciones innovadoras.

Si compra un nuevo sistema SIGNA™ PET/MR AIR™, puede estar tranquilo sabiendo que tendrá un equipo de PET/RM excepcional durante muchos años, y muchos pacientes.

Más información sobre la claridad y comodidad de AIR™

Las cómodas bobinas AIR™, junto con nuestras innovadoras soluciones de flujo de trabajo, AIR x™ y AIR Touch™, estarán al alcance de su mano con SIGNA™ PET/MR AIR™.

Bobinas AIR™

Nada se acerca más que AIR™. Su diseño flexible acerca los elementos a la zona de interés, lo que mejora enormemente la calidad de la imagen y la comodidad del paciente.

AIR x™

AIR x™ detecta automáticamente la anatomía del paciente y prescribe cortes de RM para ofrecer resultados consistentes independientemente de la patología, la posición del paciente o el técnico que realiza la prueba.

AIR Touch™

AIR Touch™ es una solución de flujo de trabajo inteligente que selecciona automáticamente las mejores combinaciones de elementos de bobina de RM para cada paciente en la región de interés específica.

RESUMEN

La claridad que busca. La comodidad que merecen.

Más información sobre SIGNA™ PET/MR AIR™ y cómo proporciona claridad y comodidad.

Únase a la comunidad WeConnect para aprender, compartir y estar conectado

Acceda a formación, aulas, academia digital, seminarios web/grabaciones, publicaciones.

Referencias
* SIGNA™ PET/MR AIR™ es una configuración de alta calidad de PET/RM SIGNA™. Aún no incorpora el marcado CE. No disponible para su venta en todos los países. Consulte con su representante de ventas.
** Datos de archivo, 2012-2021.
‡ Los resultados pueden variar.

Más información sobre SIGNA™ PET/MR AIR™

JB03267ES